[ad_1]
نوشته و ویرایش شده توسط مجله ی رنگو
مشکل آبسه کبدی طبق معمولً از نوعی عفونت باکتریایی به وجود میآید که از مجرای صفراوی یا دستگاه گوارش پخش میبشود. علل شایع این عفونت کبدی عبارت هستند از کولیت عفونی، کوله سیستیت، کلانژیت، دیورتیکولیت یا آپاندیسیت. یقیناً علل قارچی هم میتوانند در بیماران دچار نقص ایمنی علتابراز علائم آبسه کبدی شوند. افرادی که به این حالت مبتلا خواهد شد، نشانههایی همانند تب و لرز، تشنج و درد در ناحیه فوقانی شکم را توانایی میکنند. علائم دیگر عبارت هستند از نفخ، حالت تهوع و استفراغ، بیاشتهایی، افت وزن، خستگی مفرط و زردی. این عفونت داخلی شکمی خطرناک است و جهت نارسایی اندامهای درون بدن میبشود. برای رسیدگی به آن، باید به دکتر گوارش مراجعه کنید. در این مقاله از همه نکات ملزوم برای آشنایی با این چنین وضعیتی میخوانید.
در آخر، سوالهایتان را در قسمت نظرات نقل کنید تا کارشناس سلامتی مجله پزشکی دکتردکتر به شما جواب دهد.
عفونت یا آبسه کبدی چیست؟
آبسه کبدی نوعی حالت پزشکی شدید و خطرناک در کبد است. این مشکل با تجمع چرک در کبد همراه میبشود و میتواند در نتیجه صدمه کبدی یا نشت محتویات روده از شکم به کبد از راه سیاهرگ باب رخ دهد. منظور از سیاهرگ باب هم وریدی است که مواد مغذی را از اندام گوارشی به کبد حمل میکند. آبسه کبد طبق معمولً به علت عفونتی تشکیل میبشود که عامل آن میکروارگانیسمها و تروما می باشند. چرک مایعی است که زمان مبارزه بدن با یک بیماری تشکیل میبشود و از سلولهای مرده و گلبولهای سفید راه اندازی شده است. بعضی اوقات اوقات، چرک به جای تخلیه از محل عفونت، با راه اندازی کیست، در داخل کبد جمع میبشود. گمان دارد که درد و تورم معده علت این چنین وضعیتی باشد.
پایگاه سازمان سلامت ملی آمریکا (NIH) درمورد این حالت میگوید:
آبسه کبدی به گفتن یک توده چرکی در کبد تعریف میبشود که میتواند از صدمه به کبد یا از عفونت داخل شکمی منتشرشده از ورید باب به وجود بیاید.
طبق معمولً در اطراف آبسه تورم و التهاب هم به وجود میآید. برای معالجه این حالت باید به دکتر گوارش مراجعه کنید. یادتان باشد که عفونت کبد خطرناک است و نیاز به پیگیری جدی دارد.

علائم آبسه کبدی چیست؟
ابراز آبسه کبدی با مشکلات و نشانههایی قابل دقت همراه است. برخی از نشانهها فقط از سوی پزشک در زمان معاینه شناسایی و فهمیدن خواهد شد. اگر بخواهیم از شایعترین علائم عفونت کبد نام ببریم، باید به موارد زیر اشاره کنیم:
- یرقان
- ادرار تیره
- مدفعو تیره
- تعریق شبانه
- بزرگشدن کبد
- افت وزن شدید
- از دستدادن اشتها
- تب (مداوم یا متناوب) و لرز
- درد در سمت راست بالای معده
- بیحالی (حس عمومی ناراحتی یا بیماری)
از علائم دیگر باید درد شانه راست، یرقان، هپاتومگالی (بزرگی کبد) و پلورال افیوژن (جمعشدن غیر طبیعی مایع در اطراف ریهها) را هم نام ببریم. پزشکی که میداند تخصص گوارش و کبد چیست، در مسیر شناسایی علائم و تشخیص حالت به بیمار پشتیبانی میکند.
انواع عفونت کبدی را بشناسید
بر پایه ارگانیسم ایجادکننده آبسه کبدی، دو نوع کلی برای این حالت تعریف میبشود. آبسه پیوژن کبدی (Pyogenic) که شامل آبسه باکتریایی و قارچی میبشود. نوع دیگر هم آبسه کبدی انگلی یا آبسه آمیبی کبدی (Amoebic) است. هریک از اینها ویژگیهایی دارند که در ادامه به آنها اشاره میکنیم.
آبسه پیوژنیک کبد
این مورد به دو دسته آبسه باکتریایی و قارچی تقسیم میبشود. هریک از این دو عاملی مخصوص به خود دارند. در جدول زیر با آبسه باکتریایی و قارچی در این گروه آشنا میشوید:
آبسه انگلی (آبسه کبد آمیبی)
تجمع چرک در کبد که از سوی انگل رودهای انتامبا هیستولیتیکا (Entamoeba histolytica) تشکیل میبشود، آبسه کبدی آمیبی را به وجود میآورد. نامهای دیگر آبسه کبد آمیبی آمیبیازیس و اسهال خونی آمیبی است. به جستوجو عفونت آمیبی خارج رودهای، انگل میتواند از راه گردش خون از روده به کبد حرکت کند. غذا و آب آلوده به مدفوع علتگسترش آمیبیاز میبشود. منفعت گیری از فضولات انسانی به گفتن کود هم بعضی اوقات اوقات عامل آبسه کبدی است. علاوه بر این، آمیبیاز از طریق تعامل فرد به فرد هم منتقل میبشود.

علت ابتلا به آبسه کبدی چیست؟
آبسه کبد تجمع چرک (مایع) ناشی از عفونت تشکیل شده توسط میکروارگانیسمهای گوناگون است و تبدیل التهاب میبشود. بر پایه نوع عامل ایجادکننده، به انواع گوناگون زیر تقسیم خواهد شد. در ادامه با علل آبسه کیدی ناشی از هر نوع از این بیماری زیاد تر آشنا میشوید.
علل آبسه چرکی کبد
انواع گوناگون ارگانیسمهایی که علتآبسههای چرکی کبد خواهد شد، شامل اشریشیا کلی، استافیلوکوکوس اورئوس، گروه استرپتکوک آنژینوس، گونههای کلوستریدیوم، گونههای باکتریوئیدس و کلبسیلا پنومونیه می باشند. علل مختلفی برای آبسههای چرکی کبد وجود دارد که عبارت هستند از:
علل آبسه کبد آمیبی (انگلی)
انگلهایی که علتآبسه کبد خواهد شد، عبارت هستند از انتامبا هیستولیتیکا، اکینوکوکوس گرانولوزوس، تک یاختهها و کرمها. شایعترین آبسه انگلی کبد، آبسه کبد آمیبی است. انتامبا هیستولیتیکا تکیاختهای است که علتآمیبیاز میبشود، یعنی یک عفونت انگلی که از طریق مسیر مدفوع-دهانی گسترش اشکار میکند. معمولیترین علامت خارج رودهای آمیبیاز، آبسه کبد آمیبی است. هنگامی که این حاضر داخل سیستم پورتال میبشود و به کبد مهاجرت میکند، ابتدا کولیت آمیبی و به جستوجو آن آبسه کبدی آمیبی تشکیل میکند. اکینوکوکوس گرانولوزوس، یکی دیگر از پاتوژنهای انگلی غیرمعمول اما مهم است که کیست هیداتید کبدی تشکیل میکند و تبدیل آبسه کبد میبشود.
عوارض و خطرات آبسه کبدی چیست؟
به جستوجو تشکیل آبسه کبدی، امکان ابراز عوارضی وجود دارد که خود آنها هم مشکلات متنوعی به همراه میآورند. مبتلایان به این حالت، از سوی خطرات مختلفی هم تهدید خواهد شد که در ادامه به آنها اشاره میکنیم. عوارض ابتلا به آبسه کبدی شامل این موارد میبشود:
- شوک
- پانکراتیت حاد
- نارسایی کلیه
- راه اندازی فیستول
- آبسه زیر دیافراگمی یا تجمع مایعات عفونی
- پریتونیت یا التهاب دیواره پوشش حفره شکم
- شبه آنوریسم کبدی یا لختههای خارج از رگ خونی
- آمبولی سپتیک در سیستم عصبی مرکزی و خطر خونریزی داخل مغزی
- ترومبوز وریدی کبدی یا شکمی و تشکیل لختههای خون داخلی موضعی در رگها
اندوفتالمیت درونزا (EE) هم نوعی التهاب شدید باکتریایی در مایعات و بافتهای داخل چشم است که در پی وقوع آبسه کبدی در بدن مبتلایان به آن رخ میدهد.
نحوه تشخیص آبسه کبدی چیست؟
آبسههای کبدی به دلایل مختلفی تشکیل خواهد شد و علائم و نشانههای گوناگونی دارند. معاینه دقیق بیمار میتواند به تشخیص بیماری پشتیبانی کند. تشخیص شامل مرحله های مختلفی است. آبسه کبد باید به روش زیر برسی بشود:
- مرور سابقه پزشکی بیمار
- انجام معاینه فیزیکی دقیق
- بازدید یافتههای آزمایشگاهی
- مرور آزمایش کامل خون (CBP)، افزایش تعداد گلبولهای سفید و افت تعداد گلبولهای قرمز
- انجام تست کارکرد کبد، برای افزایش فسفات قلیایی، افت آلبومین و تحول در آنزیمهای کبدی
- کشت خون برای بازدید ارگانیسمها در صورت آبسه کبد آمیبی و نظارت بر عفونت همزمان با باکتری، قارچ و ویروس عامل هپاتیت
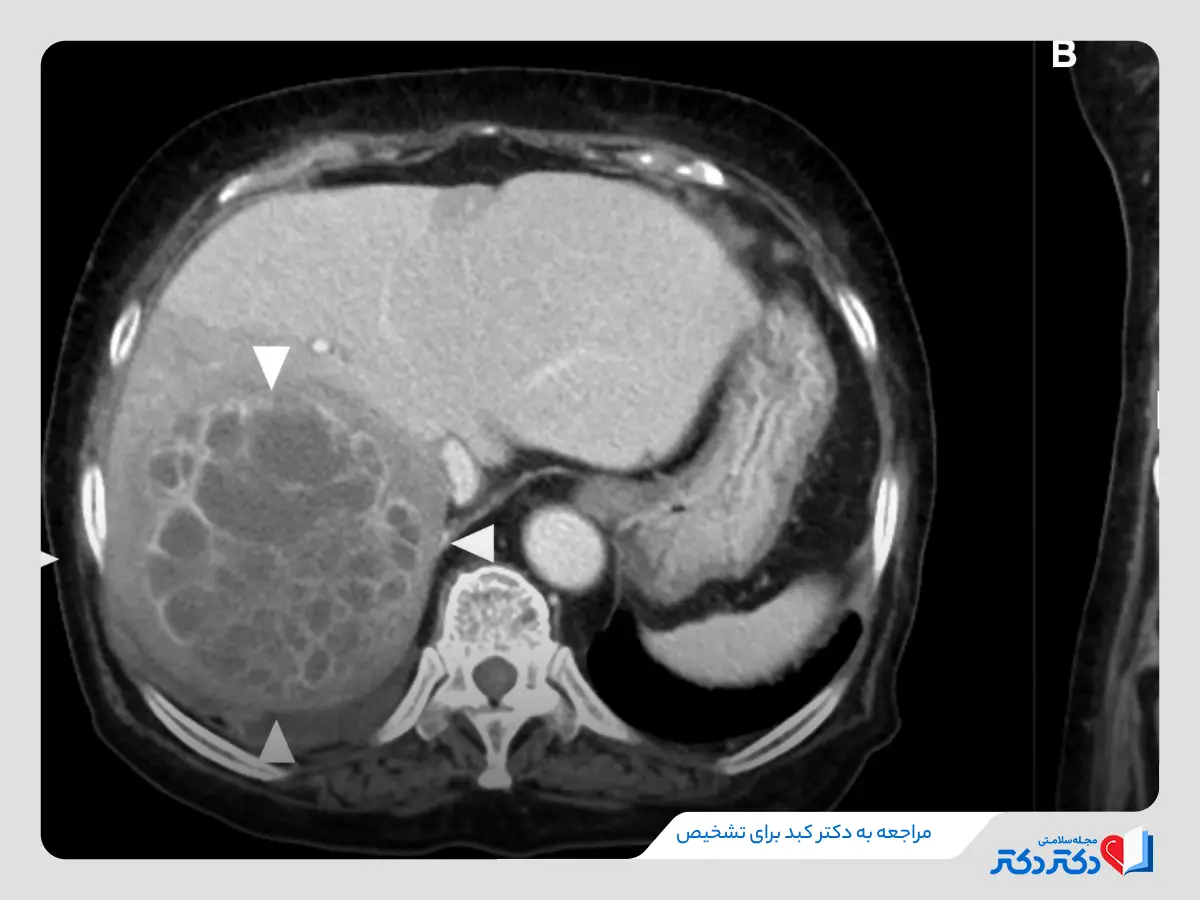
- انجام تستهای تصویربرداری شامل سی تی اسکن شکم، توموگرافی کامپیوتری با کنتراست و سونوگرافی کبد یا تصویربرداری رزونانس مغناطیسی (ام آر آی کبد)
از اسکن رادیو -نوکلیدهای کبدی هم منفعت گیری میبشود که شامل تکنسیوم، گالیوم و ایندیم، یعنی بیومارکرهایی می باشند که برای تشخیص ضایعات در کبد کاربرد دارند.

آبسه کبدی چطور درمان میبشود؟
راه حلهای مختلفی برای درمان آبسههای کبدی وجود دارد. درمان بستگی به علت آبسه کبد و شدت عفونت دارد. آبسه کبدی درماننشده به علت عوارض بالقوه آن، تهدیدکننده زندگی است. در زیر گزینه های درمانی برای آبسه کبد آورده شده است. برای هر نوع از این بیماری، راهکارهای مخصوص به خود وجود دارد.
درمان آبسه پیوژنیک کبد
انتخاب درمان برای آبسه پیوژنیک کبد به تظاهرات بالینی، ارگانیسم عامل این حالت و اندازه آبسه بستگی دارد. بر پایه نیاز از درمان دارویی و زهکشی یا درناژ در درمان منفعت گیری میبشود.
- درمان دارویی: شامل درمان آنتیبیوتیکی آبسه پیوژنیک کبد، از جمله آمینوگلیکوزیدها، آنتیبیوتیکهای بتالاکتام، پنیسیلین مقاوم به پنی سیلیناز و سفالوسپورین ها (نسل اول) است.
- روش تخلیه آبسه کبد: درمان مهم برای آبسههای پیوژنیک کبد است و شامل زهکشی از راه پوست و به طور سطحی میبشود.
- جراحی آبسه کبدی: درناژ جراحی باز یا لاپاراسکوپی، که با منفعت گیری از سونوگرافی (US) و توموگرافی کامپیوتری (CT اسکن) انجام میبشود. این روش تنها وقتی باید پیش گرفته بشود که درناژ از راه پوست و درمان آنتیبیوتیکی بیماری را درمان نکنند.
برای انتخاب درمان بیماری های کبدی نیاز به تشخیص درست حالت وجود دارد. اگر درمان مشابه با حالت بیمار نباشد، امکان خطر مرگ هم دور از انتظار نخواهد می بود.
درمان آبسه کبد آمیبی
برای درمان این حالت، داروهای انتخابی داروهای آمیبکش می باشند و طبق معمولً درناژ پیشنهاد نمیبشود. در برخی حالات هم از آسپیراسیون با سوزن منفعت گیری میبشود. اگر هیچیک از راه حلها موثر نباشند، پزشکان به سراغ راه حلهای جراحی باز میروال. در واقع، جراحی آخرین گزینه برای بهبودبخشی به این بیماری و شرایط ناخوشایند است.
پیشگیری از ابتلا به آبسه کبدی چطور است؟
پیشگیری از آبسه کبدی نیازمند اصلاحات مختلفی در سبک زندگی است که در زیر به آنها اشاره میبشود:
- غذا و آب: آلودهبودن غذا و آب به مدفوع تبدیل آبسههای کبدی میبشود، چون امکان پذیر حاوی انگل باشد. تمیزکردن میوهها و سبزیجات قبل از خوردن و پرهیز از مصرف گوشت نپخته به پیشگیری از عفونت پشتیبانی میکند.
- بهداشت: کشورهای در حال گسترش باید زیاد تر به تشکیل آگاهی در بین مردم و نگه داری محیط بهداشتی اهمیت دهند.
- عمل جنسی ایمن: در افرادی که دچار رابطه جنسی دهانی-مقعدی می باشند، این عفونت رایج است. خودداری از این رفتارهای جنسی به پیشگیری پشتیبانی میکند.
مراعات سبک زندگی سالم عامل مهمی در پیشگیری از ابتلا به آبسه کبدی است. تعداد بسیاری از بیماریهای این عضو بدن از جمله سیروز کبدی با تحول سبک زندگی قابل کنترل خواهد شد.

برای درمان آبسه کبدی به چه پزشکی مراجعه کنید؟
برای از بین بردن عفونتهای باکتریایی کبد یا مشکلات ناشی از عفونتهای ویروسی کبد باید به متخصص کبد و گوارش مراجعه کنید. آنها در حوزه از بین بردن مشکلات آبسه کبدی و انواع آن، نظیر عفونتهای قارچی کبد خبره می باشند و میتوانند آبسههای تککانونی و چندکانونی را درمان کنند. برای از بین بردن عفونت کبدی باید از راه حلهای تشخیصی همانند سیتیاسکن منفعت گیری بشود. سپس متخصص با مرور علائم آبسه کبدی، درمانهای ملزوم را پیش میگیرد. پیشنهاد به رژیم غذایی سالم، منفعت گیری از آنتیبیوتیک درمانی و درینکردن آبسه از راه حلهای در دسترس برای بهبود است. بعضی اوقات هم اگر صدمه کبدی دائمی رخ دهد، نیاز به جراحی برای برداشتن آبسه به وجود میآید.
برای مراجعه به بهترین متخصصان کبد، به سامانه دکتردکتر مراجعه کنید. در آنجا، فهرستی از بهترین پزشکان، همراه با امتیازاتشان و نظرات مراجعان قبل آنها حاضر است. در دکتردکتر، به شکل اینترنتی از پزشک دلخواهتان نوبت میگیرید.
منبع های:
bestpractice.bmj.com
teachmesurgery.com
pacehospital.com
سوالات متداول آبسه کبدی
برچسبها:
دسته بندی مقالات
[ad_2]